首页 科研教学 科教动态 详细

科研教学

【学科聚焦·血液肿瘤科】给力!个性化诊疗点亮新生

发布时间:2025.07.29

近日,长沙市第四医院多学科团队成功为一名原发中枢弥漫大B细胞淋巴瘤患者汤女士(化名)实施个体化治疗,助其摆脱病魔困扰,重获新生。

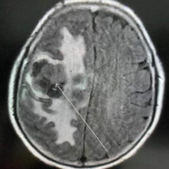
6月19日,汤女士因肢体乏力、口齿不清来到我院神经内科就诊,完善头部MRI检查后,发现其右额颞叶占位性病变,病情复杂。神经内科立即组织医学影像科、神经外科、血液肿瘤科、病理科等科室开展多学科讨论(MDT),经过深入研判和进一步检查,汤女士被诊断为原发中枢弥漫大B细胞淋巴瘤。为进一步治疗,汤女士被转入血液肿瘤科。

血液肿瘤科主任邹立新介绍,原发中枢弥漫大B细胞淋巴瘤是一种发生在人体“指挥中心”的恶性肿瘤,是极罕见的高度侵袭性淋巴瘤。其治疗难度极大,传统的化疗方式不仅耐药性强,而且药物难以通过血脑屏障进入脑组织。面对这一棘手情况,邹立新带领科室团队对汤女士的病情进行了全面分析,为她量身定制了“诱导化疗+自体造血干细胞移植+靶向维持治疗”的个体化方案。

在团队的努力下,汤女士顺利完成了两个疗程的诱导化疗。待汤女士身体状况缓解后,医疗团队再为其进行了自体造血干细胞移植,后续再采用BTK抑制剂进行靶向治疗,阻断了肿瘤信号通路。

经过医疗团队的通力合作,汤女士肢体偏瘫、言语不清等症状均已消失。复查头部磁共振,显示肿瘤明显缩小。目前,汤女士不仅生活能完全自理,还能完成简单的家务劳动,生活重回正轨。

“太感谢你们了,要是没有你们,就没有我现在的正常生活!”出院前,汤女士将一面锦旗送到医护人员手中,表达她由衷的感激之情。

邹立新说,在对抗原发中枢弥漫大 B 细胞淋巴瘤这类复杂疾病时,多学科协作是关键,既能精准诊疗,又能为患者量身定制最优方案。未来,长沙市第四医院将持续深化多学科协作机制,为更多患者驱散病痛阴霾,让生命在协作的光芒中不断延续希望。

科室档案

血液肿瘤有医生团队9人,其中主任医师1人,副主任医师4人,主治医师4人。

诊疗范围:各种恶性肿瘤的诊断、化疗、放疗、免疫治疗、靶向治疗、姑息治疗中医中药治疗。各种贫血、血小板减少及出血、白细胞减少及发热查因、骨髓增生异常综合症,多发性骨髓瘤、白血病、恶性淋巴瘤等血液系统恶性肿瘤的诊治。

特色诊疗项目

1、化疗:静脉化疗、介入化疗、腔内化疗、鞘内化疗。

2、免疫治疗:药物免疫治疗、免疫治疗机治疗。

3、靶向药物治疗。

4、肿瘤安宁疗护。

5、日间治疗 (日间化疗、日间内分泌治疗、日间免疫治疗等)。

服务宗旨:以患者为中心,减轻患者痛苦,让每一位患者得到规范化、个体化治疗。

END

 

 

 

供稿:彭浪

一审:邹立新

二审:邓光程 纪娜

三审:魏利成

编发:宣传部

 

 

 

 

 

 

 

扫一扫,手机端浏览